Temporal Ependymoma: A Case Study Emphasising Diagnostic Dilemmas and Therapeutic Challenges
Case Study of Temporal Ependymoma
Abstract
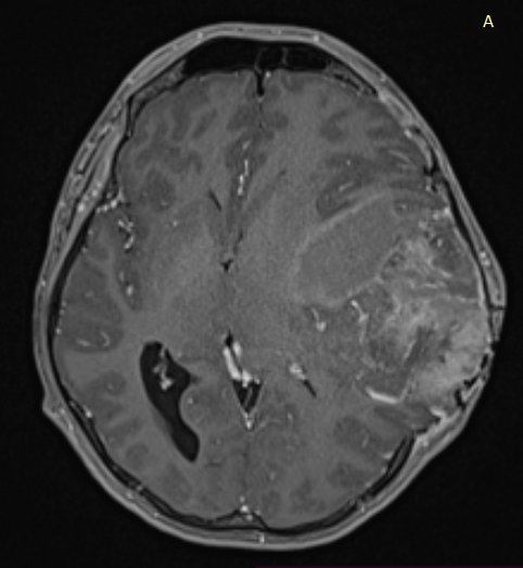
Temporal ependymomas are exceedingly rare intracranial neoplasms originating from ependymal cells within the temporal lobe. The rare nature of these tumours makes diagnosis and treatment extremely difficult in the field of neuro-oncology. These tumours frequently encounter misdiagnosis as meningiomas or other extra-axial lesions due to their atypical location and the absence of distinctive features. Consequently, histopathological examination becomes essential for accurate evaluation and a precise diagnosis. This article presented a unique case of a 25-year-old male patient’s supratentorial ependymoma at the temporal region. The report described the patient’s clinical presentation, including progressive headaches, abnormal behaviour and vomiting, leading to timely diagnostic investigations. After a surgical resection, the diagnosis of ependymoma was confirmed by histopathological analysis. Following surgery, the patient defaulted follow-up and presented six months later with worsening symptoms. Radiological imaging proved the tumour’s significant growth. The second resection worsened his neurological deficits. Unfortunately, adjuvant radiotherapy would not be beneficial to him at this point. He received palliative care. The case study emphasises the difficulty in diagnosing and treating temporal ependymomas, underscoring the importance of multidisciplinary collaboration and evidence-based approaches for optimal patient outcomes.
Keywords :
Brain neoplasms,
ependymoma; extra-axial; supratentorial; temporal lobe,
Abstrak
Ependimoma temporal merupakan neoplasma intrakranial yang sangat jarang berlaku, yang bermula dari sel ependimal dalam lobus temporal. Disebabkan tumor ini jarang dijumpai maka diagnosis dan rawatannya amat sukar dalam bidang neuro-onkologi. Tumor ini sering mengalami diagnosis yang salah sebagai meningioma atau lesi tambahan paksi yang lain disebabkan oleh lokasi atipikal dan ketiadaan ciri tersendiri. Oleh itu, pemeriksaan histopatologi adalah penting untuk penilaian dan diagnosis yang tepat. Kajian ini membentangkan kes unik pesakit lelaki yang berusia 25 tahun yang mengalami ependimoma supratentorial di lobus temporal. Laporan ini menerangkan penyampaian klinikal pesakit termasuk sakit kepala yang bersifat progresif, tingkah laku yang tidak normal dan muntah, yang membawa kepada penyiasatan diagnostik yang tepat pada masanya. Selepas pembedahan, diagnosis ependimoma disahkan oleh analisis histopatologi. Pesakit gagal membuat rawatan susulan selepas pembedahan dan seterusnya menunjukkan gejala yang semakin teruk selepas tempoh enam bulan. Pengimejan radiologi membuktikan pertumbuhan ketara tumor. Pembedahan kedua mengakibatkan defisit neurologi yang lebih teruk. Malangnya, radioterapi adjuvan tidak lagi memberi manfaat kepada beliau ketika ini. Pesakit menerima rawatan paliatif. Kajian kes ini menekankan kesukaran dalam mendiagnosis dan merawat penyakit ependimoma temporal, menitikberatkan kepentingan kerjasama pelbagai disiplin dan pendekatan berasaskan bukti untuk hasil pesakit yang optimum.
Kata Kunci :
Ependimoma; lobus temporal; neoplasma otak; paksi tambahan; supratentorial,
Correspondance Address
Dr. Ereena Alfian. Neurosurgical Unit, Department of Surgery, Hospital Canselor Tuanku Muhriz Universiti Kebangsaan Malaysia, Jalan Yaacob Latif, Bandar Tun Razak, 56000 Cheras, Kuala Lumpur, Malaysia. Tel: 603-9145 5555 E-mail: nor.ereena@ppukm.ukm.edu.my