Share |

diabetes melitus

Neuroticism, Depression and QoL in DM
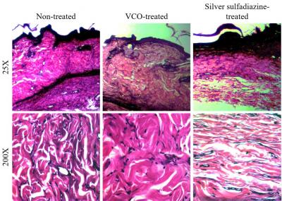
Virgin Coconut Oil and Diabetic Wound Healing
Figure 1: Skin tissue at day 7 following wound creation (Verhoeff eosin staining).
Total Contact Plaster Boot for Ulcers
Determinants of Glucose Control among Elderly Diabetics in Kulim
Peripheral neuropathy and Type II diabetes
Table 1:  Demographic  data,  duration  of anaesthesia,  volume  of  fluids infused and type of cases. Values expressed  as  mean  ±  standard deviation  (SD)  and  number  (n) where appropriate.