• Hello Visitor!
  • Log In or Register
  • Home
  • My profile
Medicine & Health
  • Home
  • About
    • About M&H
    • Aims and Scope
    • Editorial Board
    • Reviewers
  • Issues
    • Current Issue
    • Browse Archive
    • Search
  • Article In Press
  • For Authors
    • Instruction To Authors
    • Online Submission
  • For Reviewers
    • Instruction To Reviewers
  • Contact
  • Reviewer Agreement Form
  • Search issue

MEDICINE & HEALTH

About

  • Aims and Scope
  • Editorial Policies and Guidelines
  • Editorial Board

Issues

  • Current Issue
  • Browse Archive

For Authors

  • Guidelines for Authors
  • Submit manuscript
  • Keyword guideline (MeSH)
  • Guidelines for online submission

For Reviewers

  • Review Comments Form
  • Reviewer Agreement Form
  • Guide for Reviewer

Related Links

  • Universiti Kebangsaan Malaysia
  • UKM Medical Centre
  • Centre for Research and Instrumentation Management
  • Centre for Graduate Management
Home
Share |

prostat

TB Prostate
Article | July 11, 2014 - 9:17am | By FAZARINA M, Tan GH, Badrulhisham B, Shiran MS, Tan GC
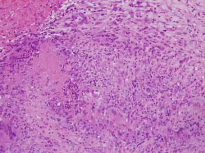
Figure 1: TURP sample showed granulomatous inflammation accompanied by central necrosis
Related Terms:
genitourinary
prostate
tuberculosis
Case report
genitourinari
prostat
tuberkulosis
Prevalence and Awareness of Lower Urinary Tract Symptoms among Males in the Outpatient Clinics of Universiti Kebangsaan Malaysia Medical Centre
Article | July 20, 2012 - 12:11pm | By Christopher Ho CK, Praveen S, Goh EH, Tan GH, Badrulhisham B, Zulkifli MZ, Khoo HW, Su XV, Ng JY, Chong LL, Lim DW, Chen ES, Teoh SY
Related Terms:
awareness
lower urinary tract symptoms
Malaysia
Original article
prevalence
prostate
kesedaran
Malaysia
prevalens
prostat
simptom trek urinari bawahan
  • Read more
  • Home
  • Current Issues
  • Archive
  • For Authors
Get the main site RSS feed