• Hello Visitor!
  • Log In or Register
  • Home
  • My profile
Medicine & Health
  • Home
  • About
    • About M&H
    • Aims and Scope
    • Editorial Board
    • Reviewers
  • Issues
    • Current Issue
    • Browse Archive
    • Search
  • Article In Press
  • For Authors
    • Instruction To Authors
    • Online Submission
  • For Reviewers
    • Instruction To Reviewers
  • Contact
  • Reviewer Agreement Form
  • Search issue

MEDICINE & HEALTH

About

  • Aims and Scope
  • Editorial Policies and Guidelines
  • Editorial Board

Issues

  • Current Issue
  • Browse Archive

For Authors

  • Guidelines for Authors
  • Submit manuscript
  • Keyword guideline (MeSH)
  • Guidelines for online submission

For Reviewers

  • Review Comments Form
  • Reviewer Agreement Form
  • Guide for Reviewer

Related Links

  • Universiti Kebangsaan Malaysia
  • UKM Medical Centre
  • Centre for Research and Instrumentation Management
  • Centre for Graduate Management
Home
Share |

bone fracture

Shake Till You Break
Article | December 29, 2016 - 12:22pm | By Christabel K, Dazlin Masdiana S, TAN TL
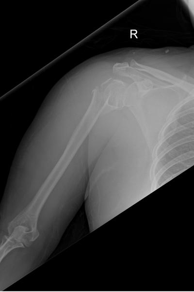
Figure 1: Anteroposterior radiograph of right shoulder: displaced fracture neck of right humerus.
Related Terms:
bone fracture
epilepsy
humerus
seizure
Case report
epilepsi
humerus
kepatahan tulang
sawan
Management of Fifth Metatarsal Fracture
Article | December 28, 2016 - 5:15pm | By HASLAN H, Zar Chi T, MOHD YUSOFF Y
Figure 1: a) Radiograph of fifth metatarsal fracture (Tan et al. 2016). b) Diagram of fifth metatarsal showing related tendons and fractures’ zones
Related Terms:
bone fracture
decision making
Metatarsal bones
Review article
pilihan perawatan
Tulang metatarsal
tulang patah
  • Home
  • Current Issues
  • Archive
  • For Authors
Get the main site RSS feed