• Hello Visitor!
  • Log In or Register
  • Home
  • My profile
Medicine & Health
  • Home
  • About
    • About M&H
    • Aims and Scope
    • Editorial Board
    • Reviewers
  • Issues
    • Current Issue
    • Browse Archive
    • Search
  • Article In Press
  • For Authors
    • Instruction To Authors
    • Online Submission
  • For Reviewers
    • Instruction To Reviewers
  • Contact
  • Reviewer Agreement Form
  • Search issue

MEDICINE & HEALTH

About

  • Aims and Scope
  • Editorial Policies and Guidelines
  • Editorial Board

Issues

  • Current Issue
  • Browse Archive

For Authors

  • Guidelines for Authors
  • Submit manuscript
  • Keyword guideline (MeSH)
  • Guidelines for online submission

For Reviewers

  • Review Comments Form
  • Reviewer Agreement Form
  • Guide for Reviewer

Related Links

  • Universiti Kebangsaan Malaysia
  • UKM Medical Centre
  • Centre for Research and Instrumentation Management
  • Centre for Graduate Management
Home
Share |

chromosome abnormality

Down-Turner Syndrome
Article | June 28, 2019 - 11:32am | By Salwati S, Bador KM, WAN NOOR AIDA MI, SITI FAIRUZ AR
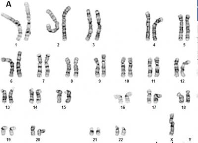
Figure 1: G-banded karyotype of the patient showing double aneuploidies in his karyotype. (A) monosomy X (45,X) and (B) trisomy 21 (47,XY,+21) (C) Karyotype of a normal male for comparison
Related Terms:
chromosome abnormality
double aneuploidy
Down-Turner syndrome
fluorescence in situ hybridization
Case report
dua aneuploidi
Fluorescence In Situ Hybridization
keabnormalan kromosom
sindrom Down-Turner
  • Home
  • Current Issues
  • Archive
  • For Authors
Get the main site RSS feed