Share |

non-Down Syndrome

strict warning: Only variables should be passed by reference in /home/jsurgaca/public_html/medicineandhealth/sites/all/modules/openpublish_core/openpublish_menu/openpublish_menu.module on line 34.
Acute Megakaryoblastic Leukaemia in a Non-Down Syndrome Child
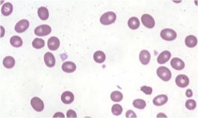
Figure 1: Full blood picture showing severe anaemia with ovalostomatocytes. (Wright’s stain x40)