Hello Visitor!
Log In
or
Register
Home
My profile
Home
About
About M&H
Aims and Scope
Editorial Board
Reviewers
Issues
Current Issue
Browse Archive
Search
Article In Press
For Authors
Instruction To Authors
Online Submission
For Reviewers
Instruction To Reviewers
Contact
Reviewer Agreement Form
Search issue
MEDICINE & HEALTH
About
Aims and Scope
Editorial Policies and Guidelines
Editorial Board
Issues
Current Issue
Browse Archive
For Authors
Guidelines for Authors
Submit manuscript
Keyword guideline (MeSH)
Guidelines for online submission
For Reviewers
Review Comments Form
Reviewer Agreement Form
Guide for Reviewer
Related Links
Universiti Kebangsaan Malaysia
UKM Medical Centre
Centre for Research and Instrumentation Management
Centre for Graduate Management
Home
Share
|
pregnancy
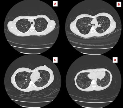
Twin Pregnancy in Lymphangiomyeiomatosis
Article |
June 28, 2022 - 3:41pm
| By
ANDREA YLB
,
Mas Fazlin MJ
,
Ng BH
,
Nik Nuratiqah NA
,
MOHAMED FAISAL AH
Related Terms:
Lymphangioleiomyomatosis
pregnancy
sirolimus
twin
Case report
anak kembar
kehamilan
limfangioleiomyomatosis
sirolimus
Obesity and Weight Perception of Pregnant Women
Article |
December 30, 2020 - 4:19pm
| By
Rachael D
,
Leelavathi M
Related Terms:
body weight
Obesity
Original article
perception
pregnancy
berat badan
kehamilan
Obesiti
persepsi
-
Article |
August 9, 2019 - 4:33pm
| By
MUNIRAH M
,
KHALIDAH MB
,
DIAN NASRIANA N
,
HANITA O
,
Nor Azlin MI
Related Terms:
human chorionic gonadotrophin
hypertension
Original article
pregnancy
darah tinggi
human chorionic gonadotrophin
kehamilan
Antenatal Iron Deficiency in Urban Malaysia
Article |
July 25, 2019 - 3:50pm
| By
MAHDY ZA
,
JUMAIDA AB
,
MUHAMMAD ZA’IM SH
,
RAHANA AR
,
MUKUDAN K
,
Zaleha MI
Related Terms:
anaemia
ferritn
Original article
pregnancy
anemia
feritin
mengandung
Antibody Screening in Pregnancy
Article |
February 4, 2013 - 11:07am
| By
Suria AA
,
NURDIYANA MN
,
HUIK MAY L
,
ALEX YCS
,
NOORNABILLAH R
,
HUD MA
,
Leong CF
,
NORAZLIN MI
,
NURASYIKIN Y
Related Terms:
alloimmunisation
Original article
pregnancy
red cell antibody
screening
aloimunisasi
antibodi sel merah
saringan antibodi
Venofer for Treatment of Iron Deficiency Anaemia In Pregnancy
Article |
July 20, 2012 - 11:15am
| By
Tan AE
,
Siti SA
Related Terms:
iron deficiency anaemia
iron sucrose complex
Original article
outpatient
pregnancy
anaemia kekurangan besi
Iron sucrose complex
kehamilan
pesakit luar