Hello Visitor!
Log In
or
Register
Home
My profile
Home
About
About M&H
Aims and Scope
Editorial Board
Reviewers
Issues
Current Issue
Browse Archive
Search
Article In Press
For Authors
Instruction To Authors
Online Submission
For Reviewers
Instruction To Reviewers
Contact
Reviewer Agreement Form
Search issue
MEDICINE & HEALTH
About
Aims and Scope
Editorial Policies and Guidelines
Editorial Board
Issues
Current Issue
Browse Archive
For Authors
Guidelines for Authors
Submit manuscript
Keyword guideline (MeSH)
Guidelines for online submission
For Reviewers
Review Comments Form
Reviewer Agreement Form
Guide for Reviewer
Related Links
Universiti Kebangsaan Malaysia
UKM Medical Centre
Centre for Research and Instrumentation Management
Centre for Graduate Management
Home
Share
|
apoptosis
Tualang Honey Inhibits PI3K/AKT Signalling
Article |
June 28, 2022 - 4:02pm
| By
Nazirah A
,
Puteri Shafinaz AR
Related Terms:
A549 cells
apoptosis
Original article
phosphatidylinositol 3-kinases
tualang honey
A549 cells
apoptosis
fosfatidilinositol 3-kinases
madu tualang
H.cordata on Human Acute Leukemic Cells
Article |
August 7, 2019 - 9:48am
| By
BOONYAWEE N
,
CHAOWANEE W
,
PAWEENA P
,
SUPANTITRA C
Related Terms:
acute lymphoblastic leukemia
apoptosis
flavonoid
Houttuynia cordata thunb
jurkat
Original article
apoptosis
flavonoid
Houttuynia cordata Thunb
jurkat
leukemia limfoblastik akut
Article |
July 20, 2012 - 11:20am
| By
Musalmah M
,
Rusdiah RJ
,
Noor Aini AH
Related Terms:
Alzheimers disease
apoptosis
beta amyloid peptide
DNA damage
neurodegeneration
Original article
TRF
apoptosis
Kerosakan DNA
neurodegenerasi
penyakit Alzheimer
peptida beta amiloid
TRF
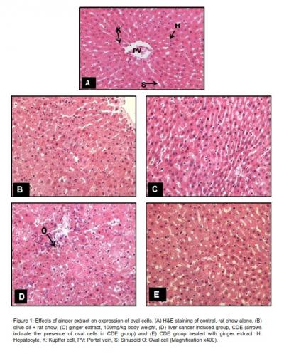
Zingiber officinale Roscoe and apoptosis
Article |
July 20, 2012 - 11:15am
| By
Yasmin Anum MY
,
Shahriza ZA
,
Looi ML
,
Shafina Hanim MH
,
Harlianshah H
,
Noor Aini AH
,
Suzana M
,
Wan Zurinah WN
Related Terms:
apoptosis
Bcl-2
caspase-8
ginger extract
hepatocarcinogenesis-induced rats
Original article
apoptosis
Bcl-2
ekstrak halia
kaspase-8
tikus teraruh kanser