Hello Visitor!
Log In
or
Register
Home
My profile
Home
About
About M&H
Aims and Scope
Editorial Board
Reviewers
Issues
Current Issue
Browse Archive
Search
Article In Press
For Authors
Instruction To Authors
Online Submission
For Reviewers
Instruction To Reviewers
Contact
Reviewer Agreement Form
Search issue
MEDICINE & HEALTH
About
Aims and Scope
Editorial Policies and Guidelines
Editorial Board
Issues
Current Issue
Browse Archive
For Authors
Guidelines for Authors
Submit manuscript
Keyword guideline (MeSH)
Guidelines for online submission
For Reviewers
Review Comments Form
Reviewer Agreement Form
Guide for Reviewer
Related Links
Universiti Kebangsaan Malaysia
UKM Medical Centre
Centre for Research and Instrumentation Management
Centre for Graduate Management
Home
Share
|
kecemasan
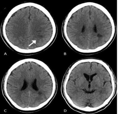
Stroke Presented as Gerstmann Syndrome
Article |
June 28, 2022 - 3:57pm
| By
Siti Nur Izni SMA
,
Kevin WCS
,
AHMAD KHALDUN I
Related Terms:
emergency
Gerstmann syndrome
stroke
Case report
kecemasan
sindrom Gerstmann
strok
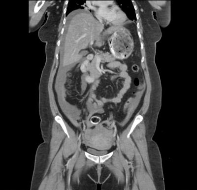
Ruptured Chronic Ectopic Pregnancy
Article |
December 28, 2021 - 4:10pm
| By
Bhasyani N
,
Shamsuriani MJ
,
NG BK
,
Janisha SR
Related Terms:
acute abdomen
chronic
ectopic pregnancy
emergencies
urine pregnancy test
Case report
kandungan ektopik
kecemasan
kronik
perut akut
ujian kehamilan air kencing
Locked-in Syndrome
Article |
August 16, 2019 - 8:11am
| By
AHMAD KHALDUN I
,
MOHD FYZAL B
,
SOO CI
,
YEAP BT
,
MOHAMED FAISAL AH
Related Terms:
emergency
envenoming
neurotoxicity
snakebite
Case report
bisa
gigitan ular
kecemasan
neurotoksik
-
Article |
August 14, 2019 - 1:21pm
| By
NG VH
,
AHMAD KHALDUN I
,
SITI SARAH MZ
,
IDA ZARINA Z
Related Terms:
analgesia
documentation
emergency
Original article
pain
analgesia
dokumentasi
kecemasan
kesakitan
-
Article |
August 9, 2019 - 10:47pm
| By
NG VH
,
AHMAD KI
Related Terms:
emergency
foreign body
trauma
Case report
bendasing
kecemasan
trauma
Huntsman Spider Bite Envenoming
Article |
June 26, 2019 - 3:48pm
| By
ISMAIL AK
,
Court DJ
,
ANTHONYSAMY C
Related Terms:
emergency
envenomation
spider
Case report
bisa
kecemasan
labah-labah
Out of Hospital Cardiac Arrest
Article |
May 19, 2016 - 11:55am
| By
ISMAIL AK
,
MD JAWI MI
,
MOHD SALLEH NI
,
HAMDAN NA
,
MD JAMAL S
,
SHAH SA
,
ABDUL RAZAK SN
Related Terms:
CPR
emergency
OHCA
Original article
pre-hospital care
ROSC
CPR
kecemasan
OCHA
pra-hospital
ROSC
DAMA
Article |
May 19, 2016 - 11:48am
| By
ISMAIL AK
,
MOHAMAD ALI S
,
CHE’ MAN Z
Related Terms:
DAMA
discharge
emergency
hospital
Original article
treatment
DAMA
discaj
hospital
kecemasan
rawatan
Ultrasound as a Triage Tool to Rule out Fractures
Article |
October 28, 2015 - 4:23pm
| By
NIK MUHAMAD NA
,
GANESAN MURTHI J
,
NIK ISMAIL NA
Related Terms:
emergency
fractures
Original article
triage
ultrasound
kecemasan
kepatahan
triaj
ultrasound