Share |

elderly

Elderly Hospitalisation in Malaysia
Figure 1: The total number of reported diagnosis
Profile of Visual Impairment in Older Adult Patients
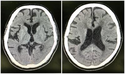
Neuroleptic Malignant Syndrome in an Elderly
Figure 1: Plain CT brain image of the patient
Personality and QOL among Elderly with Diabetes
Senam Jantung Sehat Improves Elderly Depression
Community Pharmacist and Frailty
-
A Problem of Polypharmacy in Elderly
Determinants of Glucose Control among Elderly Diabetics in Kulim