Breaking News
  • Editor's Top Picked Article Vol 20(1), Jan 2025 issue
  • Important Announcement : APC
  • Editor's Top Picked Article Vol 18(2), 2023
  • Editor's recommended article Vol 18(1), 2023
Home

Main navigation

  • Home
  • About
    • About Us
    • Aim and scope
    • Editorial Board
    • Editorial Policies and Ethics
    • Fee policy
    • Browse Issues
  • Issues

    CURRENT ISSUE

    Vol. 21 No. 3 (suppl) : 2026
    BRIOWSE ISSUES

    Latest Issues

    • 10th International Virtual Medical Research Symposium
      Issue 02 Mar, 2026
      Vol. 21 No. 3 (suppl) : 2026
    • Medicine & Health
      Issue 29 Jan, 2026
      Vol. 21 No. 1 : 2026
    • 17TH Medical Undergraduates' Annual Scientific Research Meeting
      Issue 08 Jan, 2026
      Vol. 21 No. 2 (suppl) : 2026
    • World Ethics Day Symposium
      Issue 07 Jan, 2026
      Vol. 21 No. 1 (suppl) : 2026
    • 2nd Artificial Intelligence & Medical Education
      Issue 31 Dec, 2025
      Vol. 20 No. 11 (suppl) : 2025
    more issues

    FEATURED

    medhealth
    20 Jan, 2025

    Vol. 20 No. 1 : 2025

  • For Authors
    • Guidelines for Authors
    • Keyword guideline (MeSH)
    • Submit Manuscript
  • For reviewer
    • Peer Review Process
  • Contact

Menu second

  • About
  • Issues
  • Gallery

Breadcrumb

  1. Home  / 
  2.  / 
  3. Vol. 21 No. 1 : 2026

Vol. 21 No. 1 : 2026

IN THIS ISSUE

FIGURE 1: Workflow diagram (PRISMA)
Review Article Page 1 - 18
Patient Safety Attitude among Healthcare Workers and Its Determinants: A Systematic Review


FIGURE 1: Article selection process based on PRISMA flow chart
Review Article Page 19 - 41
Patient and Family Perspectives on Patient Safety at Primary Healthcare: A Scoping Review


FIGURE 1: PRISMA flowchart
Review Article Page 42 - 92
Outcomes of Different Wound Dressings and Offloading Combinations in Diabetic Foot Ulcers: A Systematic Review


FIGURE 1: PRISMA flowchart of the study selection process; PRISMA: Preferred reporting items for systematic reviews and meta-analyses
Review Article Page 93 - 110
Medicolegal Issues in Healthcare and their Contributing Factors: A Scoping Review


Original Article Page 111 - 127
The Relationship of Difficulty Index, Discrimination Index and Non-Functioning Distractor in One Best Answer Questions for Undergraduate Medical Program in Universiti Kebangsaan Malaysia


FIGURE 1: Representative images of 2,3,5-triphenyltetrazolium chloride (TTC) stained brain slices; (A) The normal group's rat brain had no differences in colouring; (B) The infarcted (white) and non-infarcted (red) areas of the rat brain were clearly separated by the MCAO stroke model
Original Article Page 128 - 144
Exploring the Therapeutic Potential of Stingless Bee Honey as a Novel Therapeutic Approach for Middle Cerebral Artery Occlusion Stroke Models


FIGURE 1: Satisfaction scores among providers and recipients
Original Article Page 145 - 152
A Preliminary Study to Investigate Students’ and Staff Members’ Satisfactions in Using Remote Hearing Aid Finetuning Service


Original Article Page 153 - 165
Focus Group Discussion on the Design of a Sensory-based Intervention Module for Children with Autism Spectrum Disorder


Original Article Page 166 - 174
Medical Practitioners’ Knowledge and Attitude on Prehospital ST Elevation Myocardial Infarction (STEMI) Thrombolysis


FIGURE 1(a): Scatter plot showed distributions of intraocular pressure (IOP) and intracranial pressure (ICP) in patients with high tension glaucoma (HTG). There was no significant correlation (r = 0.108, p = 0.634)
Original Article Page 175 - 190
Intraocular Pressure, Intracranial Pressure, Translaminar Pressure Difference and Related Factors in Primary Open Angle Glaucoma


Original Article Page 191 - 204
The Prevalence of Complete, Timely and Delayed Primary Childhood Vaccination in Malaysia: Insights from the 2022 National Maternal and Child Health Survey


FIGURE 1: Receiver operating characteristics  (ROC) curve for platelet-to-lymphocyte ratio (PLR)
Original Article Page 205 - 214
Platelet-Lymphocyte Ratio in Positive Sentinel Lymph Node in Early Breast Cancer


Original Article Page 215 - 227
The Mediating Roles of Smoking-related Perception: Smoking, Education and Awareness


FIGURE 1: Level of knowledge, attitude, and practice (KAP) among healthcare workers regarding preparedness towards flood disaster in Malaysia (n = 434). The bar chart illustrates the distribution of participants classified as having "Good" vs. "Poor" levels of proficiency across the three domains
Original Article Page 228 - 243
Level of Preparedness towards Flood Disaster among Emergency Healthcare Workers In Malaysia


Original Article Page 244 - 258
Post-COVID-19 Health-Related Quality of Life in a Sample of Malaysian Population: Association between Internet Addiction and Sociodemographic Characteristics


Original Article Page 259 - 278
Validation of a Malay Language Questionnaire Assessing Direct and Indirect Cost Among Caregivers of Individuals with Type 2 Diabetes Mellitus at Public Primary Healthcare


FIGURE 1: Boxplot for predonation IPF levels according to whole blood and plateletpheresis donors. Asterisks and circles represented outliers with IPF value more or less than 5% respectively. Donors marked with asterisks were further described in Table 6. (IPF: Immature platelet fraction; WB: Whole blood; APH: Apheresis)
Original Article Page 279 - 286
Influence of Regular Plateletpheresis Donations on Immature Platelet Fraction and Platelet Count


FIGURE 1: Beta gene abnormality in relation to HbA2 levels
Original Article Page 287 - 298
Molecular Landscape of Cases with Borderline HbA2 Levels in a Malaysian Tertiary Medical Centre


FIGURE 1: Consort flow diagram
Original Article Page 299 - 307
Effects of Endotracheal Tube Prewarming versus Precooling on Postoperative Sore Throat


FIGURE 1: Types of challenging behaviours among children and adolescents with intellectual disability
Original Article Page 308 - 320
Family Burden of Intellectually Disabled Children with Challenging Behaviour


FIGURE 1: Confirmatory Factor Analysis eight-factor model; RMSEA: Root mean square error of approximation; CFI: Comparative fit index; TLI: Tucker-Lewis index; CHISq/df: Chi-square/degree of freedom
Original Article Page 321 - 337
Development and Validation of a Household Satisfaction Instrument for Malaysia’s Health Protection Programs


FIGURE 1: Flow diagram of the study protocol. (CPR: Cardiopulmonary resuscitation
Original Article Page 338 - 349
The Impact of Downbeat Fit-CPR Music on Compression Rate During Cardiopulmonary Resuscitation by Undergraduate Students: A Randomised Controlled Trial


Original Article Page 350 - 366
Unravelling the Key Influencing Factors of Economic Burden by Caregivers for Children with Autism in Malaysia


Original Article Page 367 - 387
The Development and Validation of a New Malay Language Psychological Quality of Life assessment (PsychQOL)


FIGURE 1: Brain areas of the (a) frontoparietal network and (b) default-mode network based on Automated Anatomical Labelling. MFG: Middle frontal gyrus; IFGoperc: Inferior frontal gyrus opercularis; IFGtriang: Inferior Frontal gyrus triangularis; IPL: Inferior parietal lobe; ANG: Angular gyrus; SFGmed: Superior medial frontal gyrus; ACG: Anterior cingulate gyrus; PCG: Posterior cingulate gyrus; PCUN: Precuneus. For variance analysis of functional connectivity, ‘.L’ and ‘.R’ represented the left and right he
Original Article Page 388 - 399
A Resting-state fMRI Investigation of Brain Networks in Spinocerebellar Ataxia Type 3


Original Article Page 400 - 412
Determinants of Maternal Health-Seeking Behaviour in the Digital Age: A Cross-Sectional Study in Selangor Malaysia


FIGURE 1: In Case #2, the patient had recurrence of left pelvic chondrosarcoma. Plain radiograph showed involvement of the ischiopubic region and ilium, indicated by the red arrows; (a) This led to the decision for an internal hemipelvectomy with hip arthrodesis using plate and screws; (b) However, he subsequently developed chronic wound infections and dehiscence, necessitating multiple debridement; (c & d) which eventually resulted in the decision for an external hemipelvectomy
Original Article Page 413 - 424
Exploring the Paradox: Revisiting Hemipelvectomy Choices in Complex Tumour Cases


Original Article Page 425 - 438
Mothers’ Knowledge and Attitudes towards Managing Breastfeeding Problems in a Tertiary Hospital


FIGURE 1: Methodology flowchart of study process
Original Article Page 439 - 452
Satisfaction and Quality of Life in Women with Breast Cancer After Breast Reconstructive Surgery in a Tertiary Referral Centre


FIGURE 2: The comprehensive pre-delivery framework designed to guide the planning and tailoring of DMTAC services
Original Article Page 453 - 474
Enhancing Diabetes Medication Adherence Clinics Service Delivery: A Pre-Delivery Framework based on the Double Diamond Model


FIGURE 1: Item generation process flow chart
Original Article Page 475 - 502
Validation of Questionnaire for Assessing Patient Safety Culture: Knowledge, Awareness, Attitudes and Practice among Medical Doctors


FIGURE 1: NEAR-1 lifter prototype and thigh strap
Original Article Page 503 - 520
A Biomechanical Analysis of Caregiver Assisted Wheelchair to Car Transfers


FIGURE 1: Source of breast cancer knowledge ((n=112)). (BC: Breast cancer
Original Article Page 521 - 534
Knowledge, Attitude and Practice on Breast Cancer Screening among First Degree Relative of Breast Cancer Patient using Validated Malay Language Questionnaire


FIGURE 1: Colored fundus photograph of the right eye showed a BRAO involving the inferotemporal arcade (inferior arrow) with surrounding pallid retinal edema associated with an area of focal retinitis (superior arrow)
Case Report Page 535 - 541
Branch Retinal Artery Occlusion as the First Manifestation of Bartonella henselae Infection


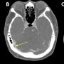
FIGURE 1: (A) Non-contrast CT brain demonstrated acute focal hemorrhage at the right occipital lobe withperihemorrhagic hypodensity extending to the right parieto-occipital region; (B) Subsequent CT venography in axial plane revealed thin linear isodensity within the right transverse sinus; (C) CT venography in coronal plane confirmed the filling defect within the right transverse sinus, consistent with thrombus
Case Report Page 542 - 546
Homonymous Hemianopia Associated with COVID-19 Vaccination


FIGURE 1: (A) A left periurethral mass extending from the left periurethral space to suburethral region measuring 3 cm x 5 cm; (B) Midsagittal view of the pelvic floor showing a cystic mass (*) dorsal to the urethra (U) measuring 2.17 cm x 2.78 cm on translabial perineal ultrasound (TPUS); (C) TPUS view demonstrating a periurethral mass dorsal to the urethra measuring 4.22 cm (width) x 1.99 cm (vertical dimension). (SP: Symphysis pubis; Ut: Uterus; CX: Cervix)
Case Report Page 547 - 550
Gartner’s Duct Cyst Impersonating Prolapse: A Case Report


Initial computed tomograpgy neck showed extensive multiloculated gas containing collection seen at retropharyngeal region (red arrow) from the level of oropharynx in sagittal section
Case Report Page 551 - 556
Retropharyngeal Abscess with a Missed Migrating Foreign Body: A Case Report


FIGURE 2: MRI images showed (a-c) enlarged and enhancing lymph nodes at levels 2, 3, and 4 of the right cervical neck regions; (d) lobulated soft tissue mass measuring 2.6 cm x 4.9 cm x 6.3 cm in the right pre- and postauricular space
Case Report Page 557 - 562
Recurrent Kimura Disease of the Submandibular Region After Prolonged Remission to Radiotherapy and Its Challenges


FIGURE 1: (A) Chest radiograph revealed an elevated left hemidiaphragm with absent of gastric bubble; (B) Abdominal radiograph revealed a paucity of small bowel gases that suggest proximal intestinal obstruction; (C) Chest radiograph taken post-intubation revealed bilateral alveolar opacities after the patient aspirated
Case Report Page 563 - 569
Fatal Wilkie’s Syndrome Complicated by Aspiration Pneumonia in an Adolescent with Autism: A Case Report


FIGURE 1: Neck re-exploration revealing intact suture at the site of primary repair
Case Report Page 570 - 574
Iatrogenic Tracheal Injury During Hemithyroidectomy: A Case Report


Medicine & Health

ISSUES

  • 2006 (1)
  • 2007 (2)
  • 2008 (3)
  • 2009 (2)
  • 2010 (2)
  • 2011 (3)
  • 2012 (2)
  • 2013 (2)
  • 2014 (2)
  • 2015 (2)
  • 2016 (2)
  • 2017 (4)
  • 2018 (4)
  • 2019 (3)
  • 2020 (3)
  • 2021 (5)
  • 2022 (6)
  • 2023 (11)
  • 2024 (11)
  • 2025 (13)
  • 2026 (4)

Recent Articles

  • 01
    10th International Virtual Medical Research Symposium
  • 02
    Iatrogenic Tracheal Injury During Hemithyroidectomy: A Case Report
  • 03
    Fatal Wilkie’s Syndrome Complicated by Aspiration Pneumonia in an Adolescent with Autism: A Case Report
  • 04
    Recurrent Kimura Disease of the Submandibular Region After Prolonged Remission to Radiotherapy and Its Challenges
  • 05
    Retropharyngeal Abscess with a Missed Migrating Foreign Body: A Case Report
  • 06
    Gartner’s Duct Cyst Impersonating Prolapse: A Case Report

Contact info

Secretariat of Research & Innovation, Faculty of Medicine Universiti Kebangsaan Malaysia
Level 6, Preclinical Building,
Jalan Yaacob Latif,
Bandar Tun Razak,
56000 Cheras
  • Kuala Lumpur, Malaysia
  • 03-91458798
  • medhealthukm@gmail.com

Explore

  • About Us
  • Advertise
  • Terms & Conditions
  • Privacy Policy
  • Careers
  • News

Guidelines

  • Author guidelines
  • Keyword guideline (MeSH)
  • Reviewer Guidelines

Newsletter subscription

Subscribe to our newsletters. Never miss an issue or our latest news.
The subscriber's email address.
Manage existing

User login

"Start your submission journey and see your research make a greater impact."

© Copyright Medicine and Health UKM 2025. All Rights Reserved.